Souris B6 hGLP-1R
Caractéristiques du modèle
Dénomination :
C57BL/6Smoc-Glp1rem2(hGLP1R)/SmocRj
Type :
Humanisée
Provenance :
SMOC, 2026
Couleur et Génotype associée :
Souris noire
Performance de reproduction :
Description de notre modèle et domaines d’application
Le modèle hGLP-1R est une souris knock-in (KI) génétiquement modifiée, homozygote pour le récepteur humain du peptide-1 de type glucagon (hGLP-1R), développée pour soutenir la recherche translationnelle dans les domaines du diabète, de l’obésité et des maladies métaboliques, en particulier pour les approches thérapeutiques ciblant spécifiquement le récepteur humain.
Ce modèle porte un allèle GLP-1R humanisé, dans lequel la séquence codante murine Glp1r est remplacée ou fonctionnellement substituée par le gène GLP-1R humain, tout en conservant des patrons d’expression physiologiques.
Le récepteur GLP-1 est un régulateur clé de l’homéostasie glucidique, de la sécrétion d’insuline, du contrôle de l’appétit et de l’équilibre énergétique. Bien que les récepteurs GLP-1R murin et humain présentent une forte homologie, des différences spécifiques d’espèce existent en termes de séquence du récepteur, d’affinité pour les ligands, de dynamique de signalisation et de réponse pharmacologique, ce qui peut limiter la valeur prédictive des modèles murins standards lors de l’évaluation de thérapies humaines basées sur le GLP-1.
Afin de pallier ces limitations, la souris hGLP-1R a été conçue pour exprimer le GLP-1R humain, permettant :
- une évaluation précise des agonistes, antagonistes, anticorps et biologiques spécifiques du récepteur humain (Figure 3 et 4)
- une meilleure pertinence translationnelle pour les études de PK/PD et d’efficacité ;
- une réduction du risque de faux négatifs liés aux différences inter-espèces au cours du développement préclinique.
Caractéristiques clés :
- Expression homozygote du GLP-1R humain sous le contrôle des éléments régulateurs endogènes
- Préservation de l’expression spécifique des tissus (cellules β pancréatiques, système nerveux central, tube digestif, tissus périphériques) (Figures 1 et 2)
Le modèle demeure par ailleurs pleinement immunocompétent.
Notre modèle

Tableau 1. Paramètres hématologiques comparant des souris C57BL6 de type sauvage à des souris C57BL6 hGLP1R (les données sont présentées sous forme de moyenne ± SEM).

Tableau 2. Paramètres biochimiques sanguins comparant des souris C57BL6 de type sauvage à des souris C57BL6 hGLP1R (les données sont présentées sous forme de moyenne ± SEM).

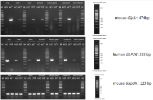
Fig 1. Détection de l’expression de GLP1R et de Gapdh dans le poumon, le coeur, le cerveau, l’estomac, la glande salivaire, le duodénum et l’intestin grêle par RT-PCR.

Fig 2. Détection de l’expression du GLP-1R humain chez les souris hGLP-1R par IHC. Le pancréas, la glande salivaire, le côlon, le coeur, le poumon, le cerveau, l’estomac et le duodénum ont été prélevés chez des souris hGLP-
1R homozygotes (HO/HO) et analysés par IHC à l’aide d’un anticorps anti-GLP-1R humain. Le GLP-1R humain est spécifiquement exprimé dans les îlots pancréatiques.

Fig 3. Validation de l’efficacité hypoglycémiante du composé testé chez des souris humanisées pour le GLP-1R. Un test de tolérance orale au glucose (OGTT) a été réalisé (n = 5), et le composé testé a montré une efficacité hypoglycémiante supérieure (p < 0,001). Ces données indiquent que la souris humanisée GLP-1R est un modèle efficace pour le criblage de médicaments antidiabétiques.

Fig 4. Étude d’efficacité de PF06882961 chez des souris hGLP1R. PF06882961 a montré un effet significatif chez les souris hGLP1R lors de l’étude OGTT, mais aucun effet chez les souris C57BL/6.
Voir tous les modèles de recherche
〉

